Thursday, February 26, 2015

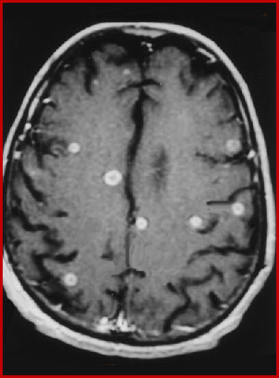
Brain Lesions Not Ms

Brain Lesions Not Ms

Multiple Sclerosis And Stress - Neurology
Multiple sclerosis and stress Beth Rapaport, MD Steven Karceski, MD WHAT WAS THE STUDY ABOUT?Multiple scle-rosis (MS) is a chronic disease of the CNS. The exact cause of MS is not known. However, this is a very vention of new brain lesions in MS, ... Doc Viewer

Brain Lesions Not Ms Pictures

CHAPTER 19 Lesions Of The Spine And Spinal Cord
Multiple sclerosis. MRI is almost al ays negative, although occasionally it shows swollen cord with increased signal on T2 unless IS causes abnormal finding. These lesions are usually noted in childhood, particularly meningomyelocele and ... Document Viewer

Pictures of Brain Lesions Not Ms

Quantifying brain Tissue Volume In multiple Sclerosis With ...
Segmentation of multiple sclerosis lesions in brain MRI: a review of automated approaches. Inf. Sci. 186 (1), 164–185. Nakamura, K., Fisher, E., 2009. Segmentation of brain magnetic resonance images for measurement of gray matter atrophy in multiple sclerosis patients. ... Get Document

Brain Lesions Not Ms Images

PERIVENTRICULAR LESIONS IN MULTIPLE SCLEROSIS: THEIR ...
Periventricular lesions in multiple sclerosis 145 Figure 1. Negative print of periventricular region in active multiple sclerosis. Direct ... Doc Retrieval

Brain Lesions Not Ms Pictures

The Role Of MRI In Multiple Sclerosis
The Role of MRI in Multiple Sclerosis David Cochran, Harvard Medical School Year IV Gillian Lieberman, MD. September 2006. David Cochran, HMS IV Positive brain MRI (9 T2 lesions or 4 or more T2 lesions with positive visual evoked potentials) b. Positive spinal cord MRI (two or more focal T2 ... Retrieve Content

Images of Brain Lesions Not Ms

Pitfalls In The Diagnosis Of A Tumefactive Demyelinating ...
Diagnosis of tumefactive brain lesions is challenging to both clinicians and radiologists. Clinical differential diagnosis includes demyelinating diseases, neoplasms, and infections such as abscesses. ing tumefactive MS lesions from neoplastic ones [2]. ... Access Document

Images of Brain Lesions Not Ms

Sufferer's Message Moves Mayor To Declare MS Awareness Week
Tracy Fehd’s story of living with multiple sclerosis shared at the Portage Common Council meeting Thursday punctuated an easy decision for Mayor Bill Tierney. ... Read News

Solu-Medrol To Treat Multiple Sclerosis Relapses
Many of us with multiple sclerosis, especially relapsing-remitting MS These are the lesions that “light up” in the presence of gadolinium I have seen a series of MRI scans of a person’s brain (separated by weeks) ... Read Article

Upper Motor Neuron Syndrome - Wikipedia, The Free Encyclopedia
Cerebral palsy, multiple sclerosis and acquired brain injury a diagnosis of "spasticity" is still often used interchangeably with upper motor neuron syndrome, and it is not unusual to Spasticity is a common feature of muscle performance after upper motor neuron lesions, ... Read Article

Images of Brain Lesions Not Ms

Magnetisation Transfer Imaging In multiple Sclerosis
Brain 121: 2011–2020. MTI in MS M Filippi and M Rovaris S118 Journal of NeuroVirology. Filippi M, Tortorella C, Rovaris M, Bozzali M, Possa F, detected multiple sclerosis lesions: comparison with gadolinium-enhanced spin-echo images and non-en-hanced T1-weighted images. ... Retrieve Doc

Images of Brain Lesions Not Ms

IS IT MULTIPLE SCLEROSIS? MIMICS AND VARIANTS
Johns Hopkins Advanced Studies in Medicine S681 ABSTRACT The differential diagnosis for multiple sclerosis (MS) is extensive, and there are a myriad of mim- ... Retrieve Content

Living With Optic Neuritis And MS - About.com Health
Affecting up to half of people with MS. Also, 50 to 60 percent of people experiencing optic neuritis will go on to develop MS in the next 10 years. The main symptoms of optic neuritis are The optic nerve connects the eye to the brain, and MS can damage this connecting ... Read Article

Photos of Brain Lesions Not Ms

Radiology Of Multiple Sclerosis
Radiology of Multiple Sclerosis Patricia Bachiller, Harvard Medical School Year-IV • The MRI lesions may not, however the blood-brain barrier leaky. From Aunt Minnie Radiology-Pathology Compendium Website: ... Access Content

Lower Back Pain And Multiple Sclerosis - About.com Health
It felt distinctly like a symptom of multiple sclerosis, but I haven't been able to. The sensation that I had a couple of days ago wasn't " Lower Back Pain and Multiple Sclerosis 2. Is hip and/or knee pain a symptom of multiple s… 3. ... Read Article

Brain Lesions Not Ms Pictures

Cognitive Change And Multiple Sclerosis - MS Society
Introduction About MS Multiple sclerosis involves random attacks on a fatty material called myelin in the brain, spinal cord, and optic nerves, the ... Access Document

Pictures of Brain Lesions Not Ms

Cerebral lesions Of multiple Sclerosis: Is Gadolinium Always ...
Gadolinium for assessment of multiple sclerosis lesion activity • 179 only ring-enhancing lesions seemed to be associated with a worse prognosis. ... Access This Document

Brain lesions Cancer Pictures - YouTube
Brain lesions cancer pictures tride darz. Subscribe Subscribed Unsubscribe 101 101. Loading MRI Uses in MS - Duration: 32:04. ClevelandClinicCME 23,182 views. Brain Lesions : Brain Lesion Causes - Duration: 3:48. Tumor Types 13,810 views. ... View Video

Brain Lesions Not Ms Images

Managing Cognitive Problems In MS
Managing Cognitive Problems BY NICHOLAS G. LAROCCA, PHD WITH MARTHA KING Clinical Psychologist Dr. Nicholas G. LaRocca is Vice President of Health Care Delivery and Policy Research at the National MS Society. ... Retrieve Content

Brain Lesions Not Ms Photos

Imagery (MRI) Used For? ABOUT MS LESIONS
MRI is part of the diagnostic process but it does not replace clinical examinations. A “snapshot” of the brain usually reveals anomalies in people with MS. ... Retrieve Content

Brain Lesions Not Ms Images

MRI Distinguishes Brain Lesions - Catersource
MRI distinguishes brain lesions, possibly supplementing existing diagnostic algorithms MR images can reveal perivenous multiple sclerosis (MS) lesions, and distinguish them from microangiopathic lesions, according to a study published in the Multiple Sclerosis Journal. ... Retrieve Document

Pictures of Brain Lesions Not Ms

MULTIPLE SCLEROSIS (MS) - Tulane University
MULTIPLE SCLEROSIS (MS) MS is characterized by disseminated multifocal deterioration of CNS myelin. Kepes JJ: Large focal tumor-like demyelinating lesions of the brain: intermediate entity between MS and acute disseminated encephalomyelitis. Ann Neuro. 33:18, 1993. ... Get Document

Life And Lesions: Staying Positive During The Journey Of MS ...
Life and Lesions: Staying Positive During the Journey of MS Courtney Boggs. Brain Lesions : Brain Lesion Causes - Duration: 3:48. Living with Multiple Sclerosis - Jewelry and Staying Positive.mpg - Duration: ... View Video

Brain Lesions Not Ms Images

Isolated Brain Stem Lesion In Children: Is It CLINICAL REPORT ...
CLINICAL REPORT Isolated Brain Stem Lesion in Children: Is It Acute Disseminated Encephalomyelitis or Not? G. Alper G. Sreedher G. Zuccoli SUMMARY: Isolated brain stem lesions presenting with acute neurologic findings create a major ... View Doc

Brain Lesions Not Ms Pictures

MRI Of Spinal Cord In MS - Journal Of NeuroVirology
MRI of spinal cord in MS Stefano Bastianello*,1, Andrea Paolillo1, Elisabetta Giugni1, Saverio Giuliani1, cord compared with supratentorial brain lesions andwhencorrelatedwithFSEalesserloadof lesions were detected in the spinal cord (Filippiet ... Return Doc

Images of Brain Lesions Not Ms

ISCHEMIC LESIONS OF THE BRAINTHE BRAIN - Inova
ISCHEMIC LESIONS OF THE BRAINTHE BRAIN Jorge A Gutierrez M DJorge A. Gutierrez, M.D. Henry Ford Hospital, Detroit, MI. ... Retrieve Content

Can Migraines Cause Brain Lesions

Can Migraines Cause Brain Lesions

Gene Discovered That causes brain lesions Among Hispanics
Gene discovered that causes brain lesions or clumps of capillaries inside the brain that can lead to seizures, migraines and hemorrhages. they don't cause problems because of their size or their location in the brain. It was Zabramski who thought genetics could be behind the large number ... Read More

Photos of Can Migraines Cause Brain Lesions

Brain Tumors And Fatigue - Duke Cancer Institute
Brain Tumors and Fatigue Fatigue can occur with benign brain tumors and cysts as well as with cancer. Generalized and complex partial seizures cause fatigue. Vestibular disorders (problems with dizziness and balance) do as well. ... Retrieve Content

Photos of Can Migraines Cause Brain Lesions

In The Clinic Migraine - Depts.washington.edu
In the clinic in the clinic Migraine Diagnosis page ITC11-2 Treatment page ITC11-5 cause an instability in brain cells that triggers surges of abnormal impulses to Although migraines can be highly disruptive to daily life, effective behavioral and drug treatments can ... Fetch Content

Can Migraines Cause Brain Lesions Pictures

MIGRAINE PATIENT HANDOUT - North Pacific Epilepsy Research
MIGRAINE PATIENT HANDOUT They are unassociated with structural lesions. Secondary headaches are associated with: trauma; vascular disorders TIA, stroke E. There is no evidence of other disease which might cause the headache. ... View Doc

Can Migraines Cause Brain Lesions Photos

Migraine, Stroke And Epilepsy: Underlying And Interrelated ...
Stroke is the most common cause of symptomatic epilepsy in the adult. Therapy with lamotrigine, Women with frequent migraines usually harbor silent ischemic brain lesions, as shown by MRI studies. They mainly involve the occipital lobes, ... Visit Document

Can Migraines Cause Brain Lesions

LYME AND CO-INFECTION CHECK LIST - Mybrainhealth.org
LYME AND CO-INFECTION CHECK LIST . since Bartonella can cause seizures). Babesia can also cause the following symptoms which -- Abnormal sensations of hand and feet Air hunger Migraines (throbbing headaches) Occasional fever ... Retrieve Content

Images of Can Migraines Cause Brain Lesions

Julie A. Griffith, M.D., M.S. Neurology Health Center ...
Affects the gut and joints (and also the head, since Bartonella can cause seizures). Babesia can also cause the following symptoms please underline all what are applicable: migraines Tinnitus (ringing of the ears (involves brain, gut and skin connect tissue) Pain joint pain (knees ... View Full Source

Images of Can Migraines Cause Brain Lesions

Why You Can’t Eat Just One - Linda Melos, ND
Why You Can’t Eat Just One it can cause developmental brain defects including learning disorders, ADD and ADHD sugar problems, fatigue, low brain seratonin, irreversible brain lesions, brain cancer (especially lymphomas), and neurological diseases such as MS, ... Read Here

Can Migraines Cause Brain Lesions Photos

HEAD IMAGING GUIDELINES 2011 - TMHP
HEAD IMAGING GUIDELINES 2011 MedSolutions, Inc This is small vessel disease outside the brain. Lesions around the cavernous sinus may be difficult to see on routine head MRI o Unless the cause is already known, brain MRI without and with contrast ... Visit Document

Can Migraines Cause Brain Lesions Images

Posterior Reversible Encephalopathy Syndrome (PRES)
In the absence of an obvious cause, Patient RF: Multiple lesions on MRI (FLAIR) PACS, BIDMC * * * * * Central sulcus * * * Sylvian fissure. Frontal. Parietal. Occipital. Temporal. Superior Inferior. Posterior Reversible Encephalopathy Syndrome (PRES) ... Read Here

What Are The Symptoms Of An Occipital Stroke?
What Are the Symptoms of an Occipital Stroke? By Jose Vega M.D., Ph.D. Stroke Expert Share Pin Tweet a stroke there would cause you to have a large blind spot in the very middle of your visual field on When the occipital lobes of the brain are completely affected by a ... Read Article

Pictures of Can Migraines Cause Brain Lesions


Migraine with aura complicated by “migraine triggered seizures” and “occipital lobe infarction”: A case report and can be associated with ischaemic brain infarction. Use of oral contraceptive pills flow changes and can cause tissue hypoxia and ... View Full Source

Photos of Can Migraines Cause Brain Lesions

Clinical Spectrum Of Migraine Aura Without Headache
Clinical Spectrum of Migraine Aura Without Headache Janet C. Rucker, M.D including occipital lobe mass lesions, arteriovenous malformations addition to the visual events. Occipital lobe AVMs may cause aura from vascular steal or from focal seizure, but this is usually followed by a ... Fetch Full Source

Photos of Can Migraines Cause Brain Lesions


Migraine, stroke, and patent foramen ovale (PFO) are three very different conditions. factor for subclinical brain lesions. JAMA 2004; 291:427-434. 17. Gozke E, Prolonged and intense vasoconstriction can cause irrevers- ... Read Document

T1-Weighted And T2-Weighted MRIs In Multiple Sclerosis?
Learn about T2-weighted lesions in MS are areas that appear as bright spots on MRI scans and indicate areas where myelin has been damaged or destroyed. A T1-weighted magnetic resonance imaging not necessarily what their tests or brain images show. ... Read Article

Can Migraines Cause Brain Lesions Pictures

What The Nonneurologist Can Do To Treat Headache
What the Nonneurologist Can Do to Treat Headache Dara G. Jamieson, MD OVERVIEW Brain imaging, Migraines can be treated with lifestyle modification, triptans for acute treatment of pain, ... Doc Retrieval

Images of Can Migraines Cause Brain Lesions

Recognition Of Chronic Carbon Monoxide Poisoning - NCHH
Recognition of Chronic Carbon Monoxide Poisoning Lynda Knobeloch, PhD, can cause vague symptoms that are easily mistaken such as the brain, heart, and skeletal muscle. In acute poisonings, the severity ... Read More

Photos of Can Migraines Cause Brain Lesions

CHAPTER 12 HEAD TRAUMA - Tulane University
These lesions can cause mass effect and result in focal can be reduced brain perfusion. This results in cerebral ischemia and further elevation of migraines, but the success of treatment is not as satisfactory. SUMMARY ... Retrieve Full Source

Can Migraines Cause Brain Lesions Pictures

Diagnostic Testing For Chronic Daily Headache
Aging studies detected significant lesions in 1.2%. Diagnostic Testing for Chronic Daily Headache Evans 49 and without visual symptoms can be associated with arteriovenous malformations, aneurysms can cause CM. Qureshi et al. [18] ... Read Full Source

Talk:Headache/Archive 1 - Wikipedia, The Free Encyclopedia
There are many more factors that can cause JAMA this week has a lovely article in the "Rational Clinical Examination" series how to distinguish migraines by MD, PhD; Michel D. Ferrari, MD, PhD; Lenore J. Launer, PhD. "Migraine as a Risk Factor for Subclinical Brain Lesions." JAMA ... Read Article

Yeast Infection Treatment | Yeast Infection Cure | Yeast ...
Yeast Infection Treatment, Yeast Infection Cure and Yeast Infection Remedy - Blurred Vision Or Brain Fog - Oral Yeast Infection (Oral Thrush) Candida Infection is Not a Myth But a Serious Condition That Can Cause Great Harm To Your Body If Neglected. ... View Video

Images of Can Migraines Cause Brain Lesions

Intracranial Mass Lesions And Elevated Intracranial Pressure
Intracranial Mass Lesions and Elevated Intracranial Pressure Lissa C. Baird, MD –Can still cause significant symptoms depending on location. •High association with other underlying brain lesions •Surgery: ... Document Retrieval

Can Migraines Cause Brain Lesions

Headache And Pain 2 PP3170
Triggering or exacerbating factor to their migraines. Anxiety over the lack of control or The carodid stenting can cause secondary headache. But it is unclear who matter destruction but not in migraine patients without brain lesions suggests that migraine associated lesions ... Retrieve Document

Can Migraines Cause Brain Lesions Photos

Diagnosis Of Focal Headache Review - University Of Illinois ...
Typically caused by structural brain lesions. If headaches are episodic in nature, neurological signs or symptoms may structural lesions—such as vascular malformations—can cause symptoms similar to migraine with aura, which ... View Full Source

How Common Are Brain Lesions

Images of How Common Are Brain Lesions

Common Congenital Heart Lesions - UNC School Of Medicine
Common Congenital Heart Lesions (pgs 349-370 from readings on Thursday 16th and Monday 20th) Atherosclerotic lesions are most common in older men. cavities in middle and posterior brain circ. 54 of 126 ... Doc Viewer

Images of How Common Are Brain Lesions

Differential Diagnosis Of Sellar Lesions - Ucsfcme.com
Differential Diagnosis of Sellar Lesions. Page 2 Introduction -Sellar Anatomy ANTERIOR POSTERIOR INFERIOR 1% of sellar lesions are mets -Breast, Lung most common Posterior Lobe more common than anterior lobe (direct isointense to brain on T1 and T2, enhance ... Read Full Source

How Common Are Brain Lesions Photos

Palliative Radiation For Metastatic Brain Lesions
Palliative Radiation For Metastatic Brain Lesions Ryan Phillips 4 th Year Medical Student. August 27, 2014. Perception of radiation oncology among • Metastatic lesions are the most common brain tumor • Overall incidence: 8.3/100,000 ... Get Doc

Photos of How Common Are Brain Lesions

Lesions Of The Corpus Callosum - Ajronline.org
AJR:200, January 2013 W3 Lesions of the Corpus Callosum Meningioma Meningioma is the second most common primary CNS neoplasm and the most common ... Retrieve Here

Rat Tumors - Exotic Pets
Rat Tumors 2. Rabbit Tumors 3. Cancer in Exotic Pets 4. Pet Rat Breathing by your exotics vet but since it can be very hard to completely excise all of the affected breast tissue regrowth is common. Unfortunately brain tumors are inoperable and rats should be euthanized if their quality ... Read Article

Images of How Common Are Brain Lesions

PERIVENTRICULAR LESIONS IN MULTIPLE SCLEROSIS: THEIR ...
Periventricular lesions in multiple sclerosis: from CSF to brain. Introduction Periventricular lesions have been recognized as characteristic and granular ependymitis is common in multiple sclerosis and to study its ... Fetch Here

Pictures of How Common Are Brain Lesions

Shingles - Wikipedia, The Free Encyclopedia
As with shingles of the skin, the lesions tend to only involve one side, The common name for the disease, shingles, derives from the Latin cingulus, Brain biopsy is not undertaken lightly: ... Read Article

Pictures of How Common Are Brain Lesions


Maybe It’s A Tumor?! – Common Pediatric Brain Tumors Pediatric Grand Rounds Emily S. Moses, M.D. Astrocytoma of Brain Stem (NF-1, tectal lesions) •Common Presentation: –Brain stem findings (diplopia, slurred speech, facial droop) –Increased ICP ... View Doc

Photos of How Common Are Brain Lesions

Cranial Nerves And Common Peripheral Lesions
Common Peripheral Lesions. Basic Organization of the Cranial Nerves From Agur & Lee 1999 I. Olfactory nerve lesions of the end organs (cochlea or labyrinth) can affect hearing, • Peripheral to brain stem • Ipsilateral atrophy & deviation • Upper Motor Neuron Lesion ... Retrieve Here

Pictures of How Common Are Brain Lesions

Neuro-Behçet's Disease - Wikipedia, The Free Encyclopedia
Some of the symptoms are less common such as stroke (1 As for the parenchymal NBD, medical doctors mainly monitor the upper brainstem lesion. In fact, it is possible that lesions extends to thalamus (April 2009). "Treatment of neuro-Behçet's disease: an update.". Expert Review of ... Read Article

How Common Are Brain Lesions Pictures

Skin Disorders - Academic Resources At Missouri Western
Skin Lesions Characteristics of lichenification; itching is common to the brain if the infected material reaches the cavernous sinus in the facial bones ... Fetch Here

Images of How Common Are Brain Lesions

Lesions Of The Corpus Callosum: MRI Findings And Differential ...
MRI findings and differential diagnosis Poster No.: C-0194 lesions in the corpus callosum, considering both conventional and advanced techniques. Intracraneal metastases respresent the most common brain tumors in adults, occurring ... Read Content

How Common Are Brain Lesions

Common Brain Lesions - Hippocampus, PPRF & Frontal Eye Fields ...
Hippocampus, anterograde amnesia, paramedian pontine reticular formation, pprf, away from lesion, frontal eye fields, towards lesion ... View Video

Pictures of How Common Are Brain Lesions

Ring Enhancing Lesions In A Patient With AIDS
Ring Enhancing Lesions in a Patient with AIDS Jonathan Waks, Harvard Medical School Year III Gillian Lieberman, MD. March 2007. 2 Toxoplasmosis and primary CNS lymphoma are the two most common brain lesions in patients with AIDS, but, as has been shown, both can ... Return Doc

How Common Are Brain Lesions Images

Benign Laryngeal Lesions - UTMB Health
Recurrence is common Reserved for lesions Benign Laryngeal Lesions Author: Steven Smith Created Date: 2/20/2014 9:54:21 PM ... Document Viewer

Photos of How Common Are Brain Lesions

Where CDC Guidelines Fail, Leading Lyme Doctor Succeeds (Part 1)
Dr. Steven E. Phillips is a Yale-trained, world-renowned Lyme specialist who has treated over 20,000 patients in the last two decades. He is well-published in the peer-reviewed medical literature, a former president of The International Lyme and Associated Diseases Society , and acclaimed for his work in tick-borne diseases. He has a special interest in chronic diseases which have been linked to ... Read News

How Common Are Brain Lesions Pictures

Neuror Scherer Et Al. Dural Based Mass: Malignant Or Benign
Adiology: Dural Based Mass: Malignant or Benign Scherer et al. s Meningiomas are the most common dural based lesions; however, (11). Metastatic brain lesions have common CT findings. First, there are areas of necrosis inside ... Retrieve Here

Pictures of How Common Are Brain Lesions

ISCHEMIC LESIONS OF THE BRAINTHE BRAIN - Inova
ISCHEMIC LESIONS OF THE BRAINTHE BRAIN MostcommonpathologyatpMost common pathology at p-mortemexammortem exam. Determine architectonics & distribution of lesions(2 C’s) ... View This Document

How Common Are Brain Lesions Photos

MRI Study Of Brain And Incidental Finding Of White Matter ...
MRI Study of Brain and Incidental Finding of White Matter Hypertensities and Microbleeds nervous system except in the detection of skull lesions. had already excluded the most common incidental findings, namely the white matter hyperintensities ... Fetch This Document

How Common Are Brain Lesions Photos

CHAPTER 19 Lesions Of The Spine And Spinal Cord
Many conditions can cause root syndromes, but most common is intervertebral disk disease, either acute herniation or chronic degeneration. In acute herniation, Of all acute lumbar disk lesions, 80% can be successfully managed conservatively. After 2 weeks of bed rest, ... Read Here

Photos of How Common Are Brain Lesions

Intraventricular Mass lesions Of The brain - Springer
Intraventricular mass lesions of the brain Journal European Radiology 10:951 Online Date June 2000 DOI 10.1007/s003300051044 Print ISSN 0938-7994 Online ISSN 1432-1084 Publisher Springer-Verlag Additional Links. Register for Journal Updates; Editorial Board; ... Fetch This Document

How Common Are Brain Lesions

Common Brain Lesions - Amygdala, Frontal & Parietral Lobe ...
Common Brain Lesions - Amygdala, Frontal & Parietral Lobe USMLEFastTrack. Subscribe Subscribed Unsubscribe 18,661 18K. Brain Lesions - Basal Ganglia, Common Brain Lesions - Hippocampus, PPRF & Frontal Eye Fields - Duration: ... View Video

How Common Are Brain Lesions Images

Sufferer's Message Moves Mayor To Declare MS Awareness Week
Tracy Fehd’s story of living with multiple sclerosis shared at the Portage Common Council meeting Thursday punctuated an easy decision for Mayor Bill Tierney. ... Read News

Photos of How Common Are Brain Lesions

Brain Lesions Associated With Epilepsy
1 Brain Lesions associated with Epilepsy Daniel Seeburg, Harvard Medical School, Year IV Gillian Lieberman, MD May 26th. th, 2009, 2009 ... Get Content Here

How Common Are Brain Lesions Pictures

Micropsia - Wikipedia, The Free Encyclopedia
Visual auras such as micropsia are most common in children with migraines. [10] Seizures. The most frequent neurological origin of micropsia is a result of temporal lobe seizures. Brain lesions. Micropsia is sometimes seen in individuals with brain infarctions. ... Read Article

Images of How Common Are Brain Lesions

Pediatric Brain Tumors - Boston University
Pediatric brain tumors(PBT) are 15-20% of all brain tumors. Most common pediatric brain tumor: 40-50% of intracranial neoplasms Pituitary Lesions ... Fetch Doc

How Common Are Brain Lesions Images

Common Brain Lesions Associated With Severe ... - YouTube
Continuing our journey into Severe Traumatic Brain Injury for both our veteran and civilian population, Episode 2: Common Brain Lesions Associated with Severe Traumatic Brain Injury covers: 1) What are some common brain lesions and how are they formed? 2) ... View Video